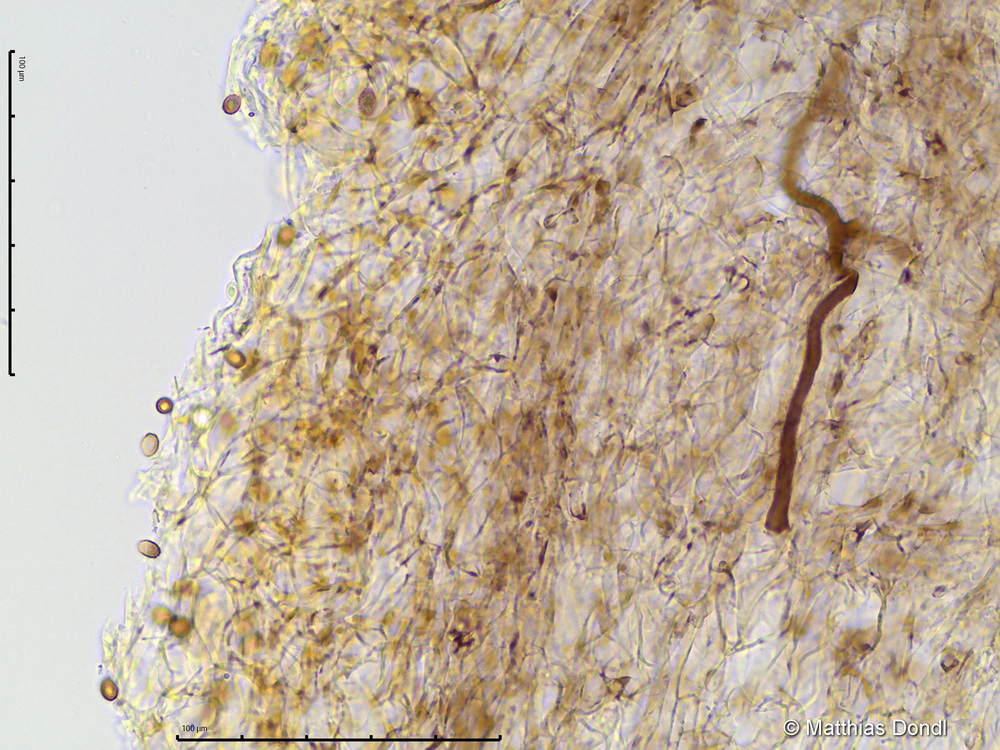
Cortinarius russulaespermus Carteret
HDS

Foto