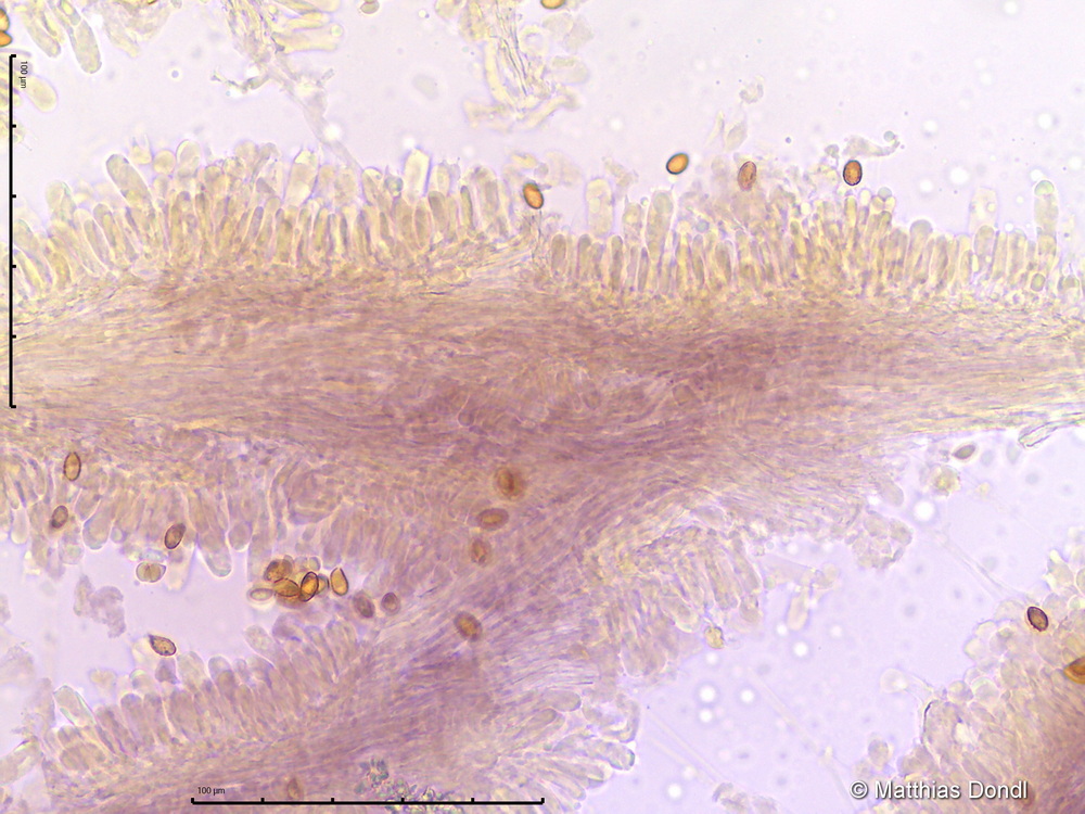
Cortinarius cf. purpurascens Fr.
Lamellentrama

Foto