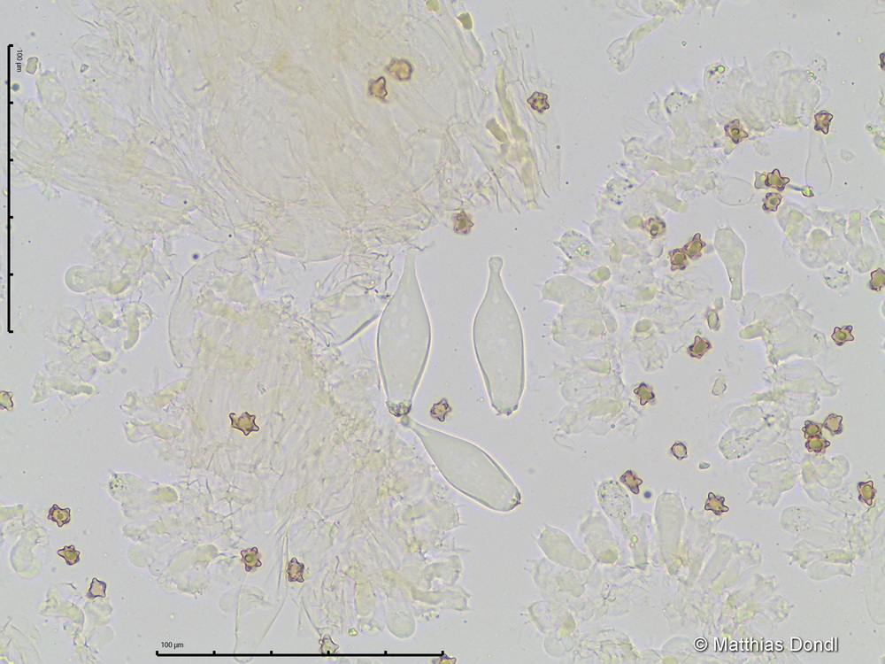
Inocybe napipes F.E. Lange
Pleurozystiden

Foto