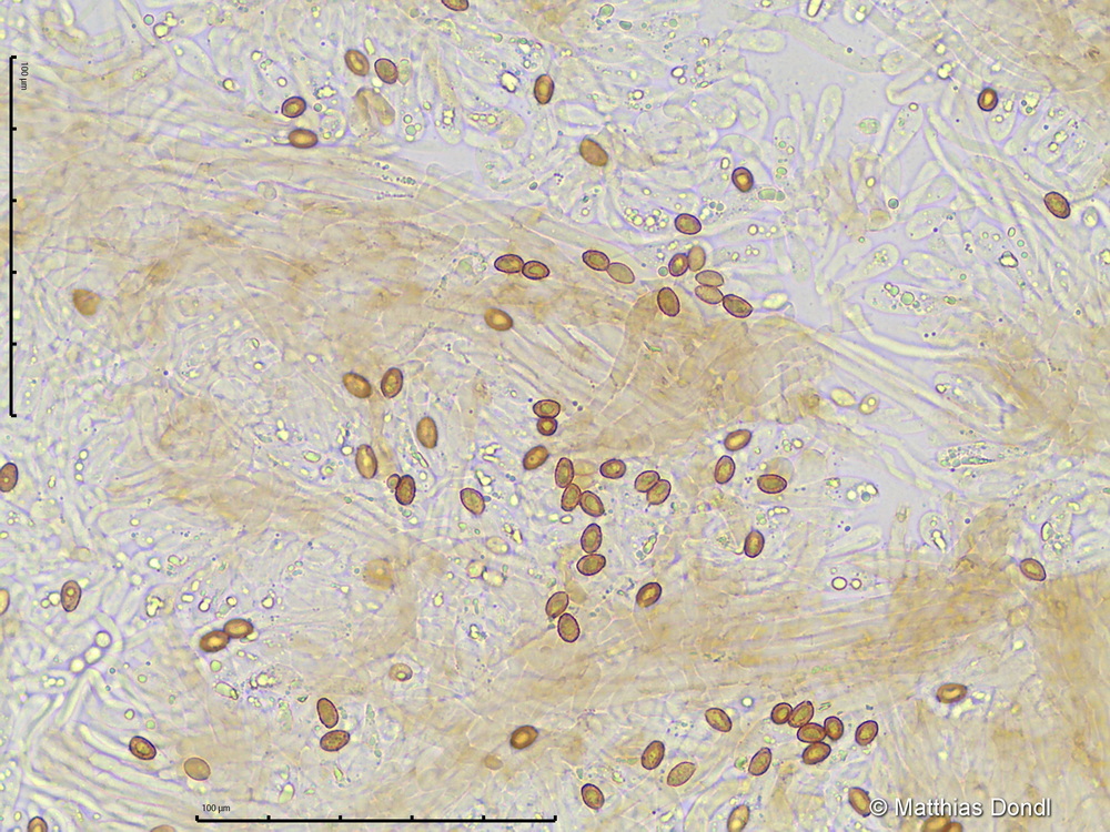
Cortinarius spec.
Trama und Basidien

Foto