Cortinarius safranopes Rob. Henry
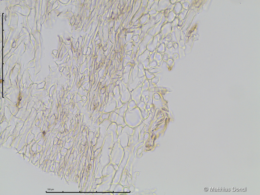
HDS

Foto