Inosperma maculatum (Boud.) Matheny & Esteve-Rav.
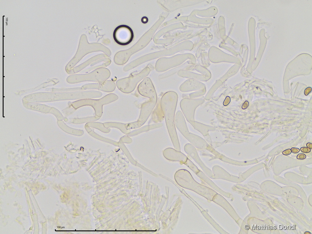
Kaulozystidien in Apexnähe

Foto