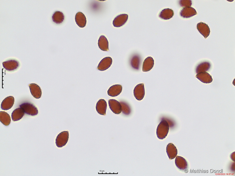
Cortinarius tigrinipes Bergeron
Sporen (Abwurf) in Melzers

Foto