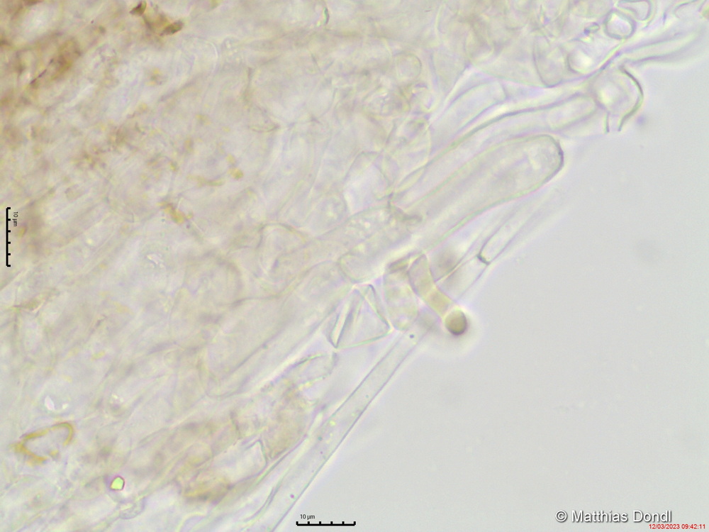
Cortinarius epipurrus Chevassut & Rob. Henry
HDS

Foto