Cortinarius emollitus Fr.
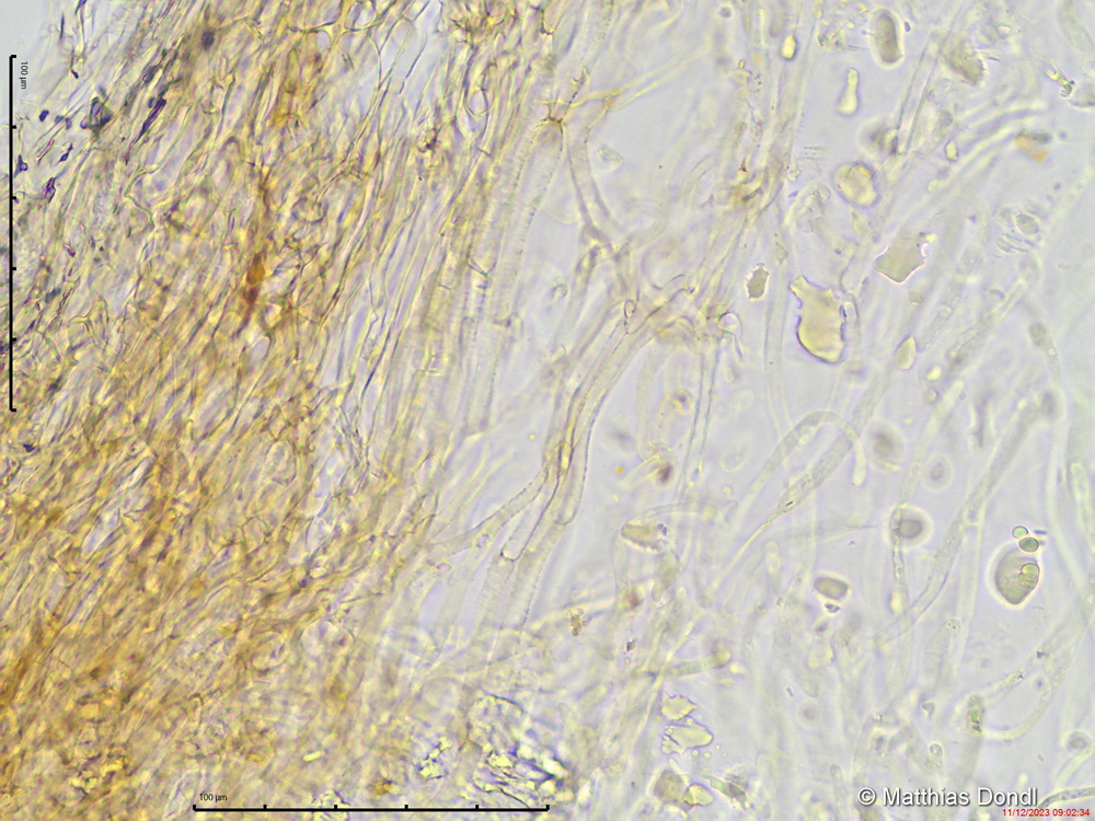
HDS

Foto