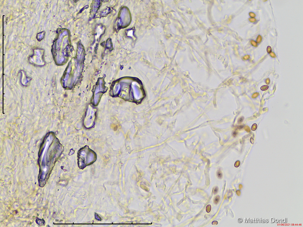
Cortinarius luteobrunnescens A.H. Smith 1944
HDS

Foto