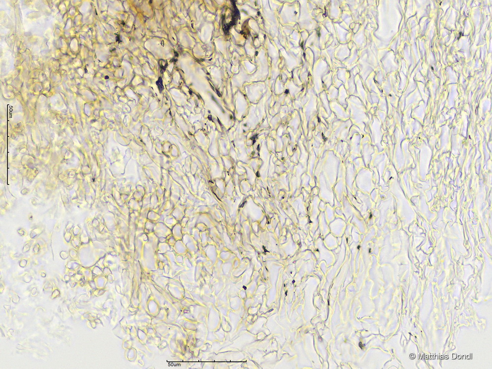
Cortinarius xanthochlorus Rob. Henry
HDS

Foto