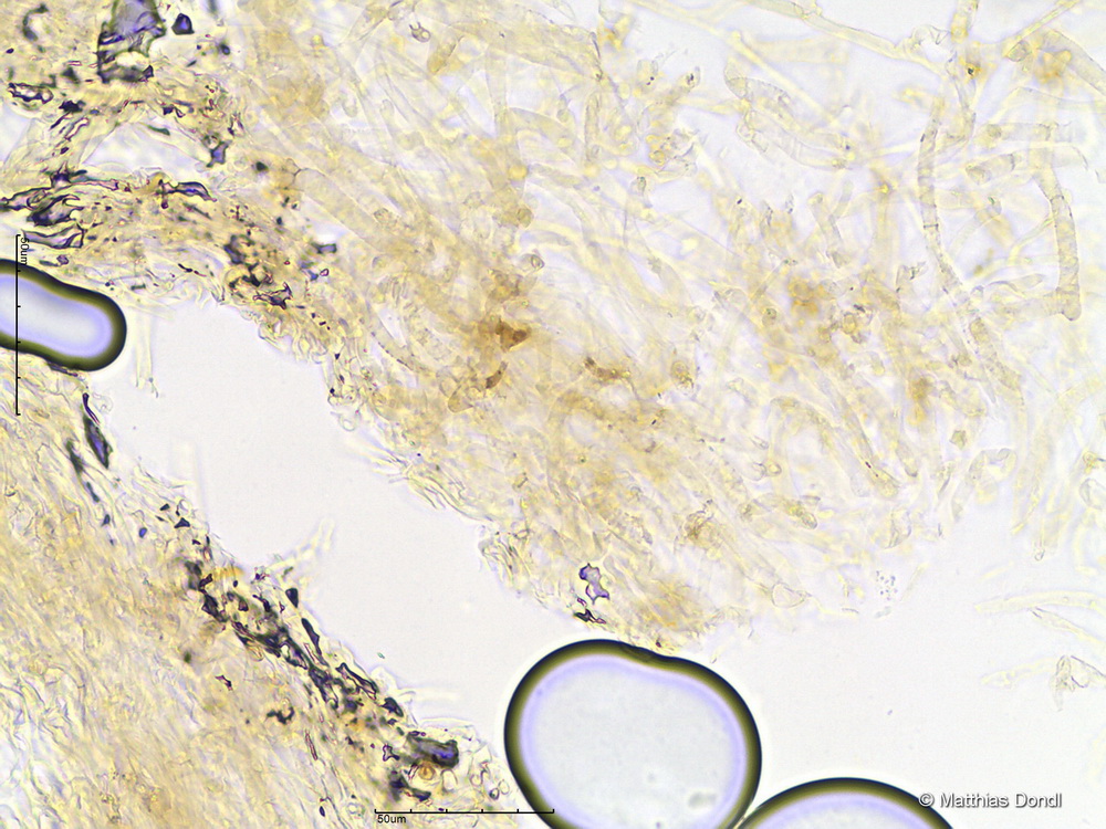
Cortinarius quercilicis (Chevassut & R. Hry) R. Hry
HDS

Foto