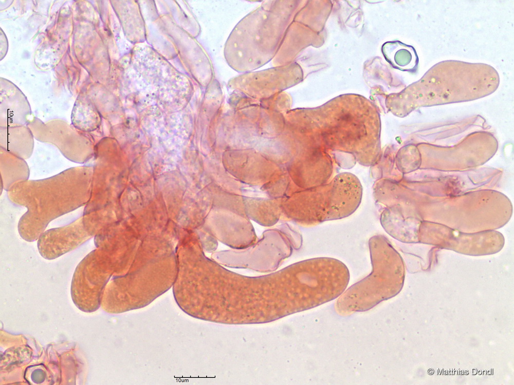
Entoloma cf. undatum (Fr. ex Gillet) Moser
Cheilozystiden

Foto