Cortinarius aleuriodor Rob. Henry
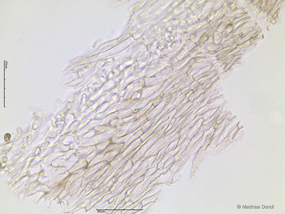
HDS