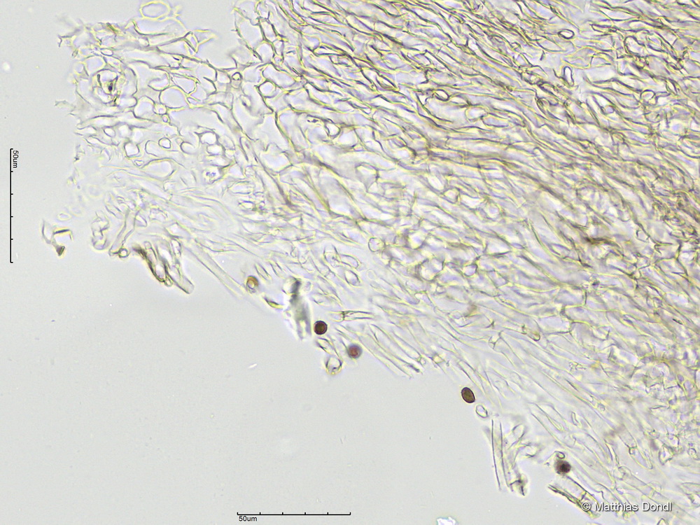
Cortinarius lucandii Bidaud, Carteret & Reumaux
HDS

Foto