Cortinarius pulchripes J. Favre
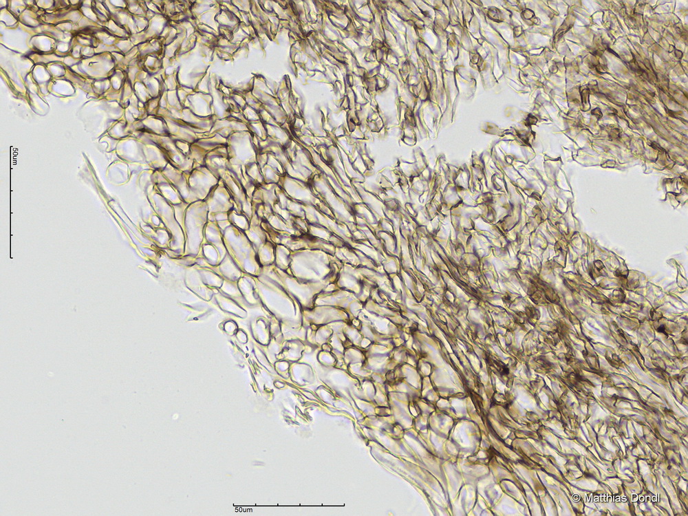
HDS

Foto