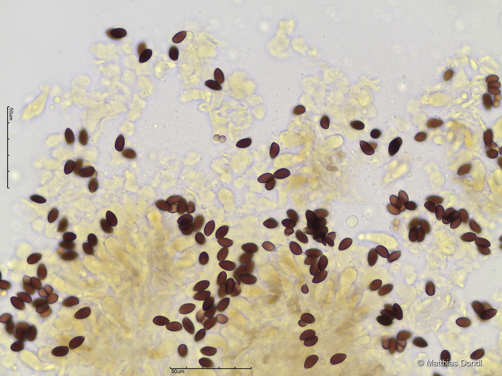
Galerina cephalotricha Kühner
Sporen in Melzer

Foto