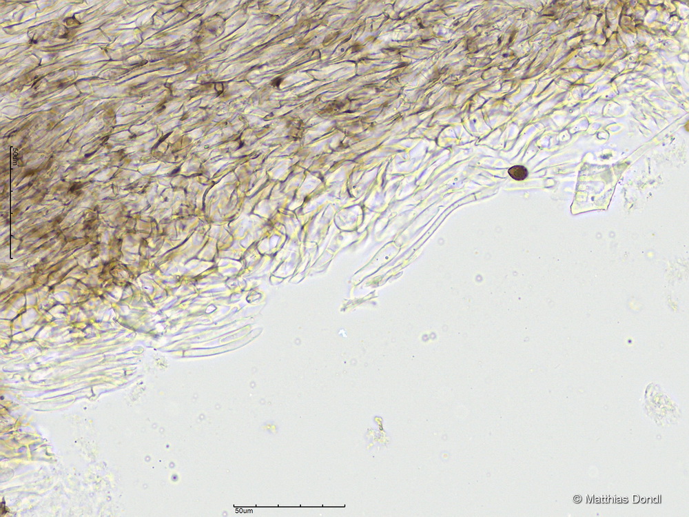
Cortinarius subpuellaris Brandrud & Dima
HDS

Foto