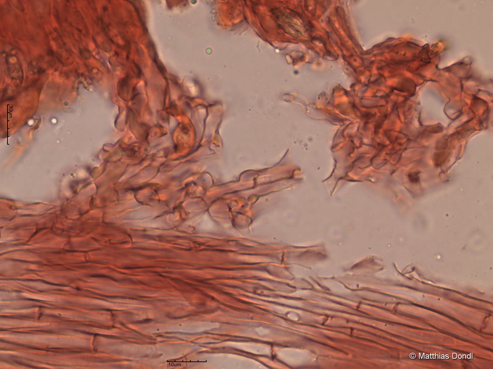
Ramaria cf. longispora Marr & Stuntz
Hymenium und Trama (in der Bildmitte Schnalle im Subhymenium?)