Ramaria ignicolor Bres. apud Corner
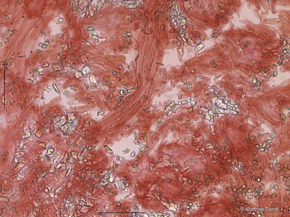
Hymenium und Trama