Ramaria formosa (Pers.: Fr.) Quélet
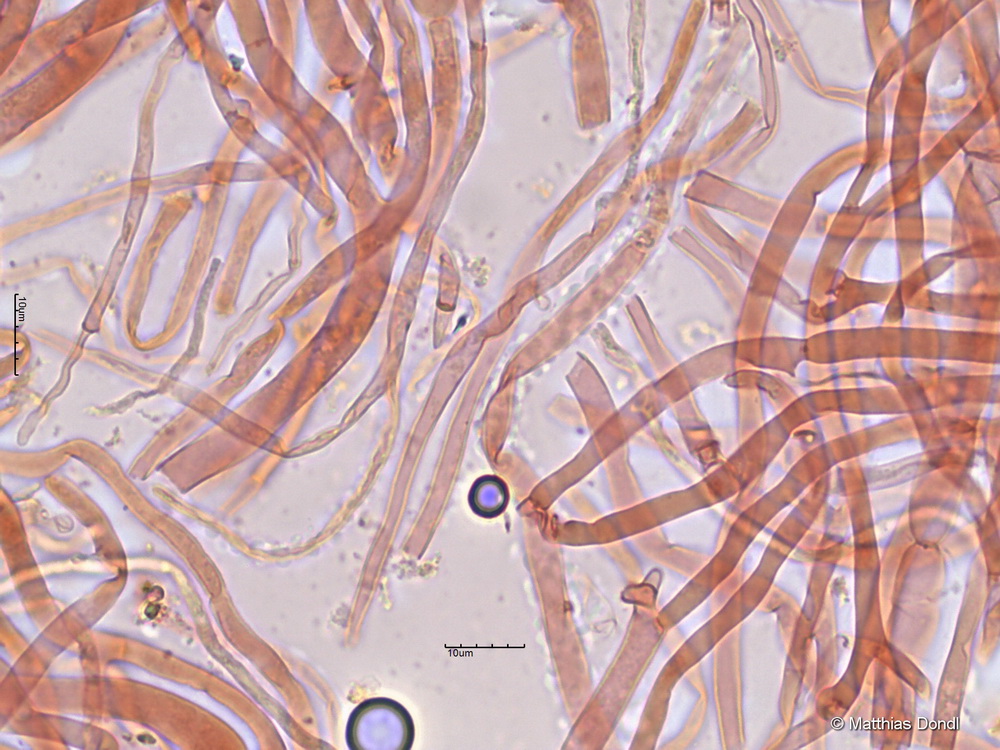
Rhizomorphen