Galerina sideroides (Bull.) Kühner
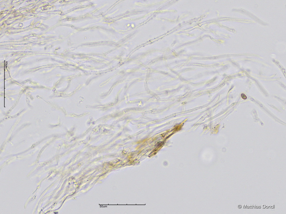
HDS